Discover What Your Body May Be Hiding

Your body can undergo significant changes long before you notice anything on the surface. That is why early detection is so valuable. At Life Guard Imaging in Tampa, FL, our full body scan gives you a clear look inside your chest, abdomen, and pelvis so you can identify silent risks early. Using advanced CT technology—along with bone density testing, body fat analysis, and Auto Chamber Cardiac Volumetry—we help you understand your health more completely. If you want a simple, proactive approach to long-term wellness, call 813-524-1010 or 813-582-5222 to schedule your appointment today.


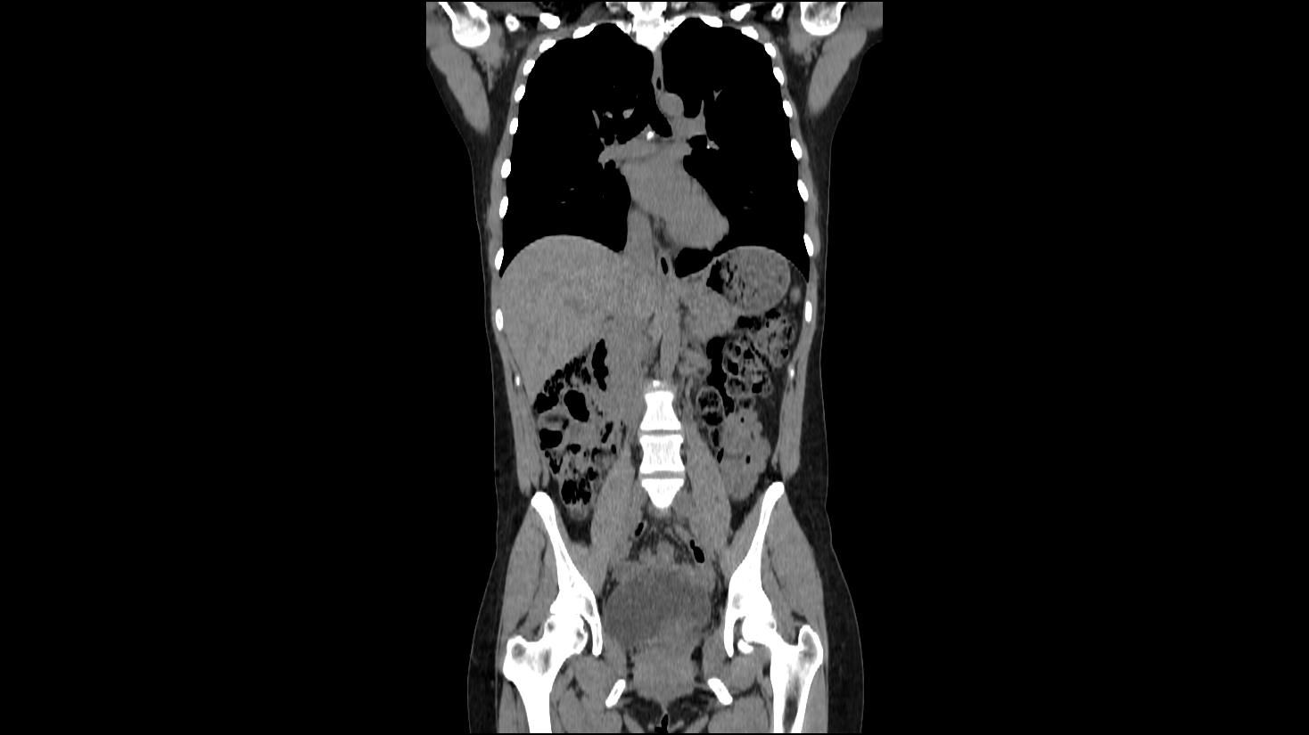
A Full Body Scan That Discovers Problems Before They Advance
A full body scan delivers a fast, detailed look at your internal organs, giving you insight into concerns that often grow unnoticed. This type of screening can reveal tumors, cysts, stones, inflammation, and other abnormalities that rarely cause symptoms in the early stages. Because many conditions progress quietly, full-body imaging is one of the most effective ways to stay informed and proactive.
With high-resolution CT imaging, your scan can uncover issues that routine exams, blood work, and physicals may overlook. You gain clarity about your health, the chance to address concerns early, and reassurance when everything appears normal.
Bone Density Testing for Stronger, More Resilient Bones
Bone loss can occur over time without causing pain or discomfort. Many people do not know their bones have weakened until a fracture occurs. A bone density test provides an accurate measure of your bone strength so you can prevent problems before they happen.
This scan evaluates the density of your bones and compares them to standard values for someone your age and gender. Because declining bone strength increases the risk of serious injuries, early testing helps you protect your mobility, independence, and overall quality of life.


Body Fat Assessment for a Clearer Picture of Metabolic Health
A body fat assessment measures both total body fat and visceral fat—the hidden fat stored around your organs. High visceral fat is linked to heart disease, diabetes, inflammation, and metabolic disorders, yet most people cannot detect it without imaging.
This service is especially helpful for individuals focused on improving fitness, tracking weight changes, or managing long-term health conditions. With this insight, you can make smarter decisions about lifestyle, diet, and preventive care.
Auto Chamber Cardiac Volumetry for Early Heart Function Insight
Auto Chamber Cardiac Volumetry is an advanced AI-driven evaluation that measures the size of the heart’s chambers. This technology can identify early signs of structural heart changes—such as enlargement—that often begin years before symptoms appear.
This service is valuable even when calcium scores are normal. A zero calcium score does not rule out all heart problems. Structural changes can occur independently of plaque buildup, and volumetry helps identify these issues early so your physician can recommend appropriate follow-up care.


Why These Four Evaluations Provide a Stronger Health Overview
Your health is influenced by many systems working together. Looking at several areas at once provides a more complete understanding of your overall wellness.
- A full body scan highlights organ and structural changes.
- Bone density testing evaluates bone strength.
- Body fat assessment identifies metabolic risks.
- Auto Chamber Volumetry detects subtle heart changes.
Together, these tools offer a broad and meaningful picture of your current health and future risk factors. Early knowledge gives you more control, better decision-making power, and a stronger chance to stay ahead of conditions that affect millions every year.

Common Questions About Full Body and Preventive Scans
How often should I schedule these scans?
Most patients benefit from annual imaging to track changes and catch new issues early.
Are these scans safe?
Yes. We use low-dose CT technology and follow strict safety protocols for every evaluation.
Who should consider these services?
Anyone interested in early detection can benefit. These tests are especially helpful for people with a family history of disease, past health concerns, or lifestyle-related risk factors.
Do I need a referral?
No. You can schedule a scan directly through our Tampa office.
Take a proactive step toward better health. Call 813-582-5222 to schedule your full body evaluation at Life Guard Imaging in Tampa, FL.
